Estetinis plombavimas
Estetinis plombavimas
Tai pažeistų danties audinių atkūrimas, laikantis dantų estetinių parametrų. Estetinės plombos atitinka natūralią dantų spalvą bei blizgesį ir iš esmės yra nematomos. Estetiškai atkuriant dantis, svarbu ne tik medžiagos, bet ir plombavimą atliekančio gydytojo įgūdžiai, meistriškumas.
Estetinis plombavimas taikomas atkurti nudilusius, nuskilusius, pakeitusius savo natūralią spalvą, pažeistus ėduonies dantis. Plombavimas taip pat atliekamas norint keisti senas plombines medžiagas, atkuriant formą, skaidrumą, blizgumą, spalvą.
Estetinio plombavimo metu dantų audiniai yra šlifuojami minimaliai, o kartais dantų paviršius yra tik pašiurkštinamas. Tikslas — išsaugoti kuo daugiau sveikų danties audinių, atkuriant proporcingumą, estetiką ir funkcionalumą.
Estetinio plombavimo sėkmė priklauso nuo pasirinktų medžiagų ir procedūrą atliekančio gydytojo darbo technikos, kadangi dantų audiniai atkuriami plombavimo medžiagų sluoksniais, artimais natūraliai danties anatomijai. Taip atkuriamas natūralių dantų vaizdas.
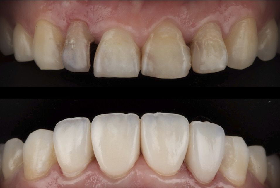
Prieš
Po
Estetinio plombavimo privalumai
- Atkuriama danties natūrali anatomija, estetika
- Procedūra neskausminga, greita
- Šalinama mažiau danties audinių nei protezavimo metu
- Atkurtas dantis yra tvirtesnis
Mūsų klinikos pagrindinis tikslas yra atkurti dantų natūralumą, šlifuojant kuo mažiau danties audinių, todėl dažnai prieš šias procedūras pacientas siunčiamas gydytojo ortodonto konsultacijai. Geriausi rezultatai pasiekiami dirbant komandiškai, pacientą ruošiant visoms reikalingoms procedūroms. Jeigu prieš dantų plombavimą yra sutvarkomas paciento sąkandis, ištiesinami kreivi dantys — galima tikėtis maksimalaus ilgalaikio estetinio rezultato, išsaugant sveikus dantų audinius.
Mūsų klinikoje estetinį plombavimą atlieka gydytoja odontologė Elena Grigelienė, turinti ilgametę patirtį estetinės odontologijos srityje. Ortodontinio gydymo metu dažnai nustatomi ir estetiniai dantų defektai, todėl galime pasiūlyti kompleksinį gydymą — nuo sąkandžio korekcijos iki tobulos šypsenos estetikos.